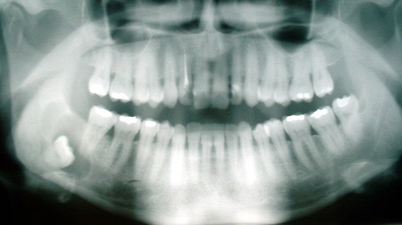
Impacted Wisdom Teeth . . . Answers for TEOTWAWKI

800px-Cyst_-_wisdom_tooth

800px-Cyst_-_wisdom_tooth

Bookmark the permalink.

Leave a Reply

Your email address will not be published. Required fields are marked *